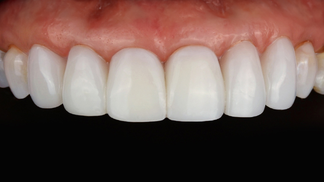
유튜브
임플란트 비싼 게 좋은 걸까? 비싸도 전 세계적으로 선택 받은 이유?
2026.02.09
-
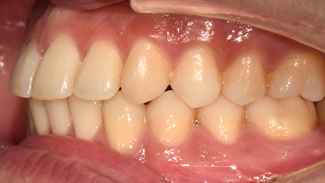
유튜브
임플란트 비싼 게 좋은 걸까? 비싸도 전 세계적으로 선택 받은 이유?
2026.02.09
-
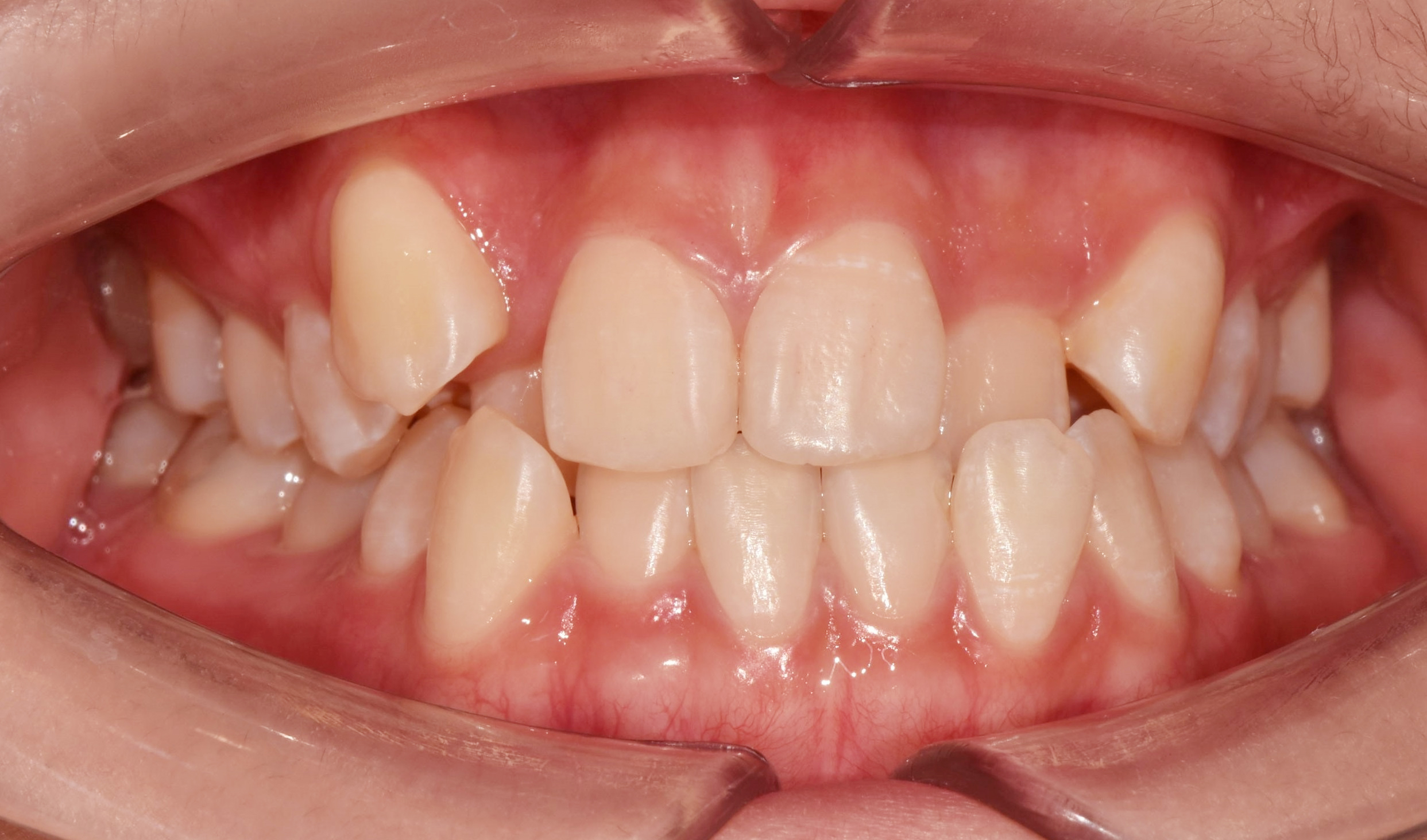
유튜브
맞는 건 괜찮은데… 충치는 못 참겠습니다|20대 격투기 선수 치과 방문기
2026.02.06
-
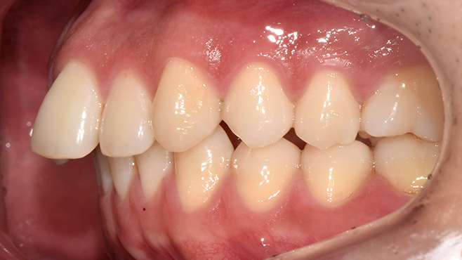
유튜브
치과가 무서워 10년 동안 미뤄온 임플란트 수술 그 결과는?
2026.01.21
-
유튜브
365서울원탑치과의 특별함을 알려드립니다
2026.01.07
-
유튜브
임플란트 수술 후 이것만은 꼭 조심하세요? |운동, 흡연,식사,음주| 다 알려드립니다!
2026.01.07
-
유튜브
임플란트 가격 반 값으로 전체 보철 치료하기?!
2026.01.07
f


