치료 사례
-
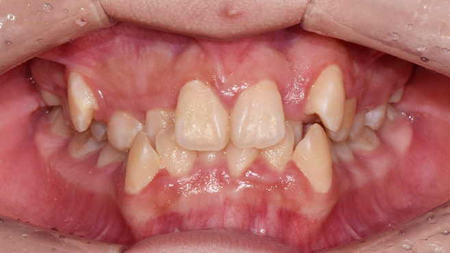
Before
2023-03-10
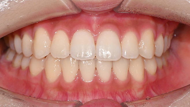
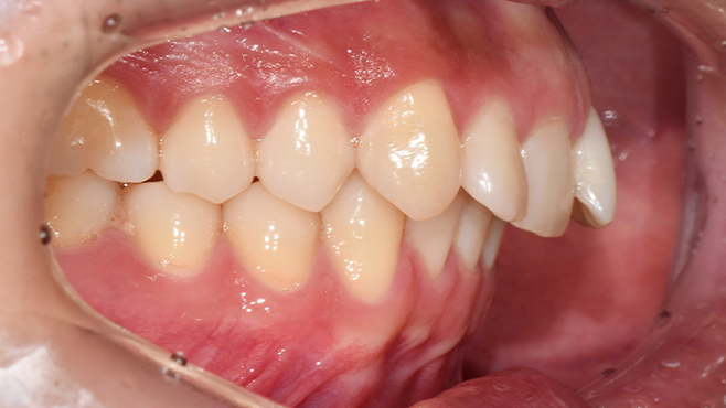
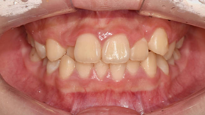
After
2024-10-30
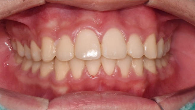
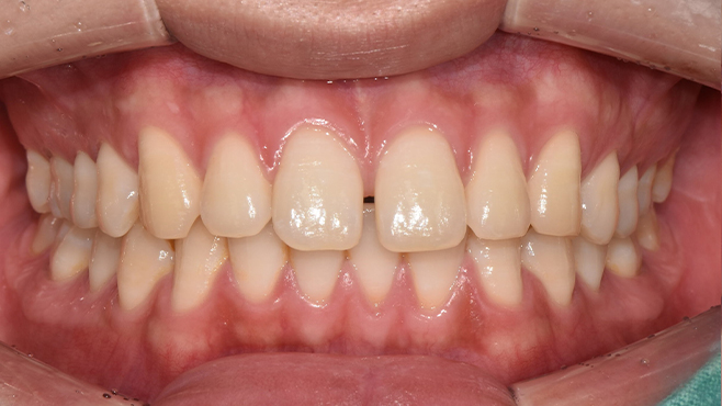
치아교정
-
Before
2022-04-06
After
2024-06-26
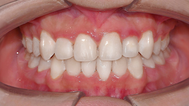
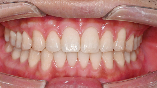
치아교정
-
Before
2021-10-02
After
2025-04-25
치아교정
-
Before
2022-08-31
After
2024-12-27
치아교정
-
Before
2022-08-01
After
2024-02-23
치아교정
-
Before
2021-06-04
After
2024-11-13
치아교정
-
Before
2020-07-24
After
2023-04-14
치아교정
-
Before
2021-12-03
After
2024-06-07
치아교정
- ※ 위 임상사진은 365서울원탑치과에서 진료를 시작하고 마친 동일한 환자의 사진입니다.
- ※ 위 임상사진은 동일한 조건으로 촬영되었으며, 사진에 대한 별도의 조작이 처리되지 않았습니다.
- ※ 수술 및 치료 과정에서 부작용이 발생할 수 있으므로 의료진과의 충분한 상담과 신중한 판단이 요구됩니다.