치료 사례
-
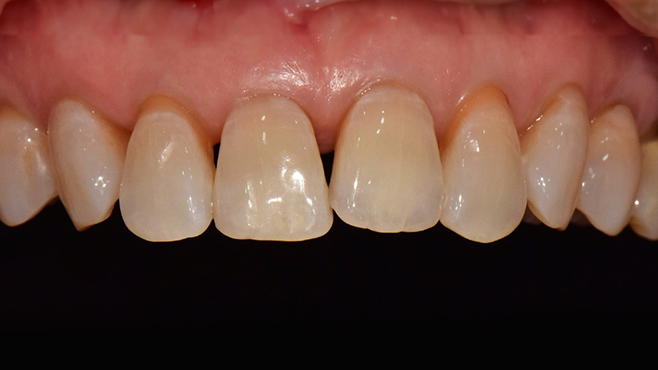
Before
2025-01-09
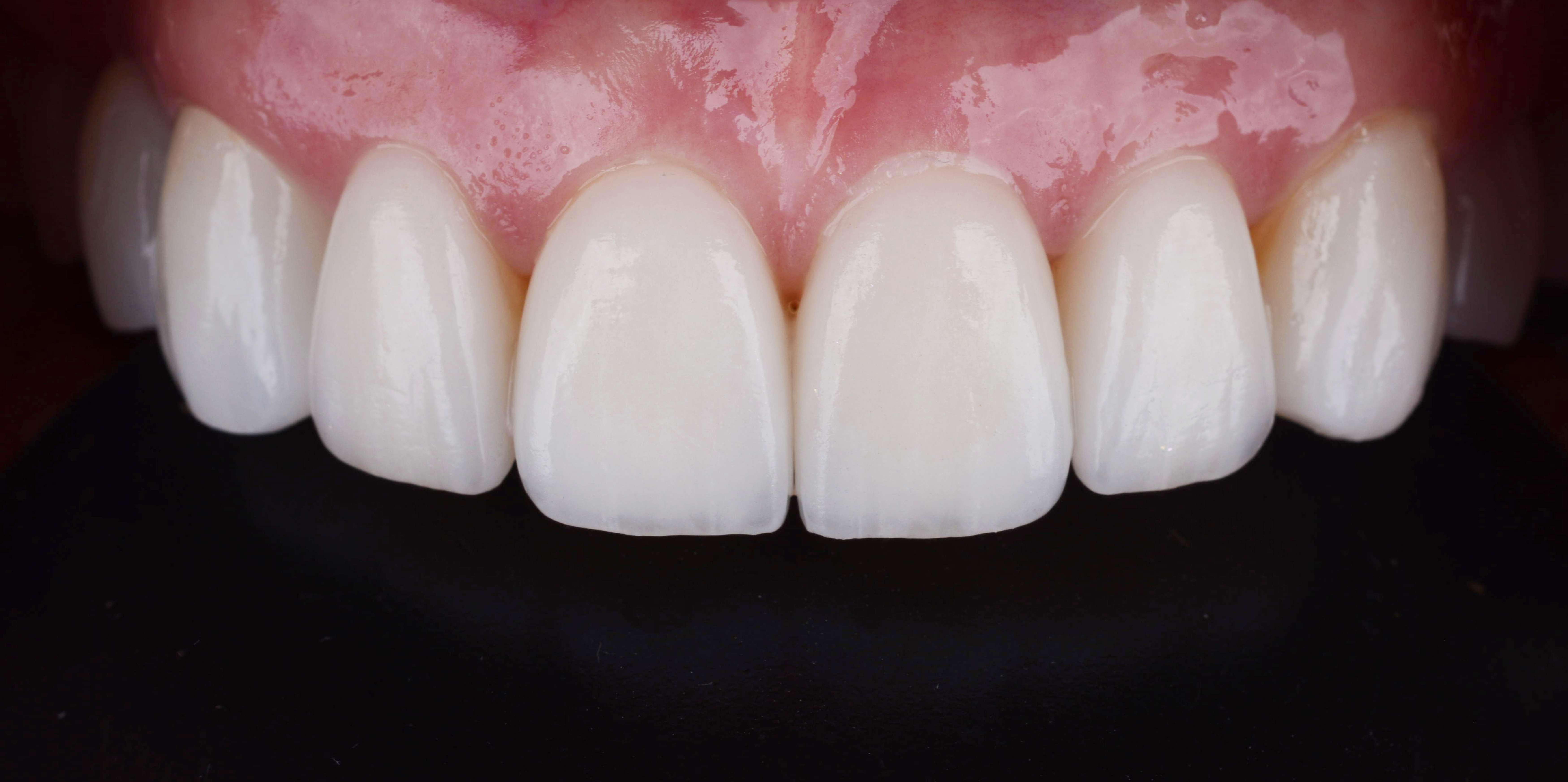
After
2025-01-16
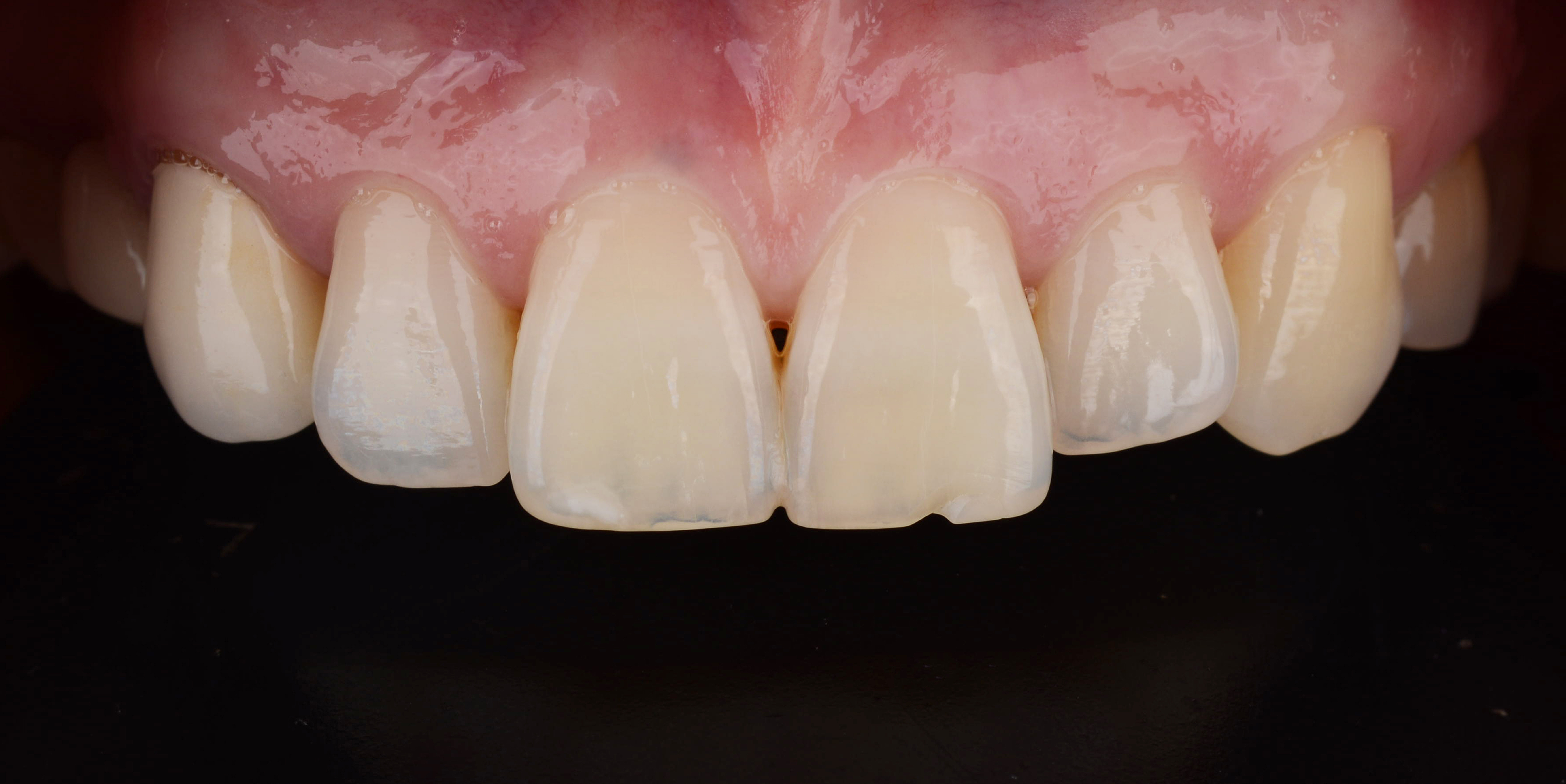
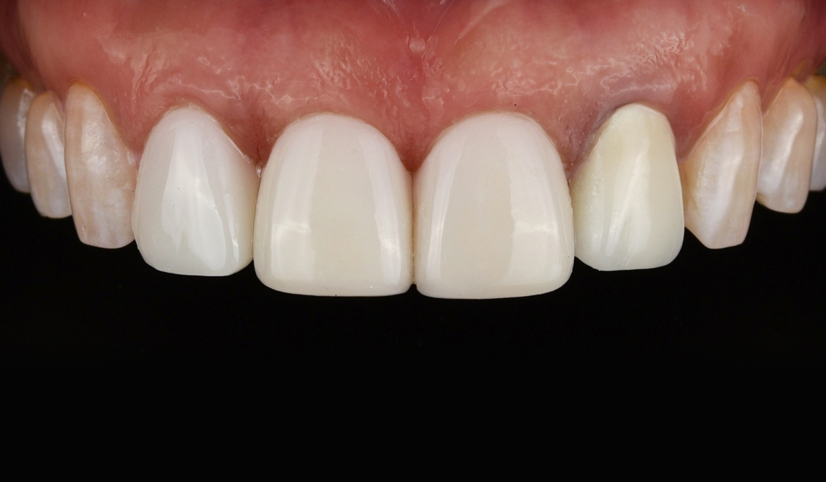
라미네이트
-
Before
(1Day)2025-06-16
After
(1Day)2025-06-16
1Day 라미네이트
-
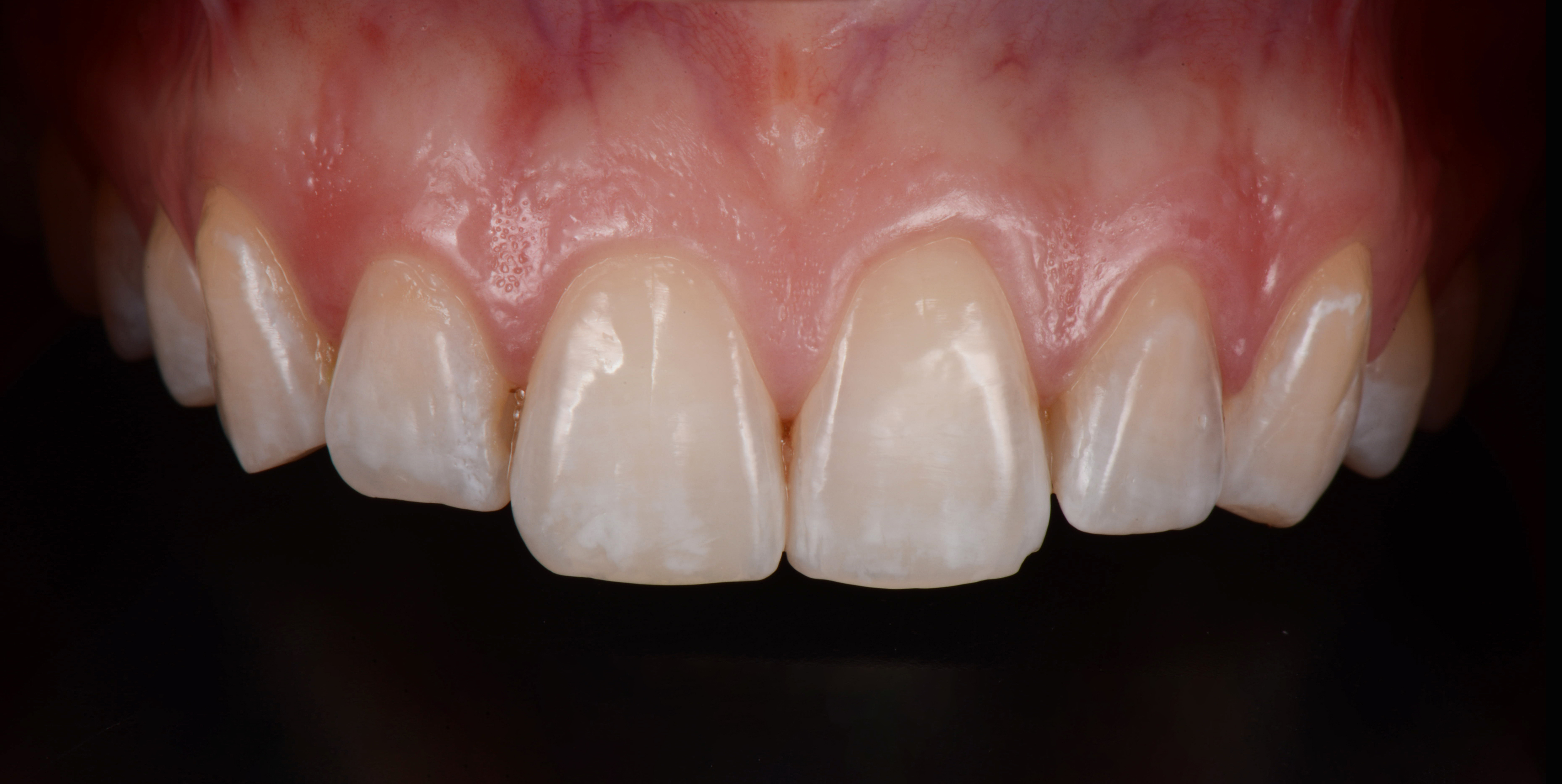
Before
2025-01-18
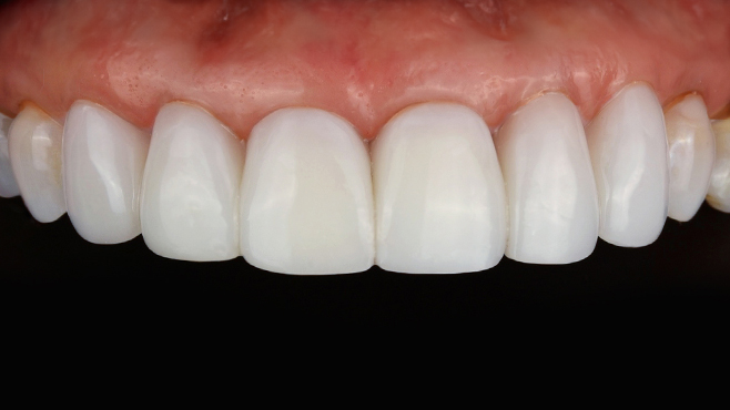
After
2025-02-08
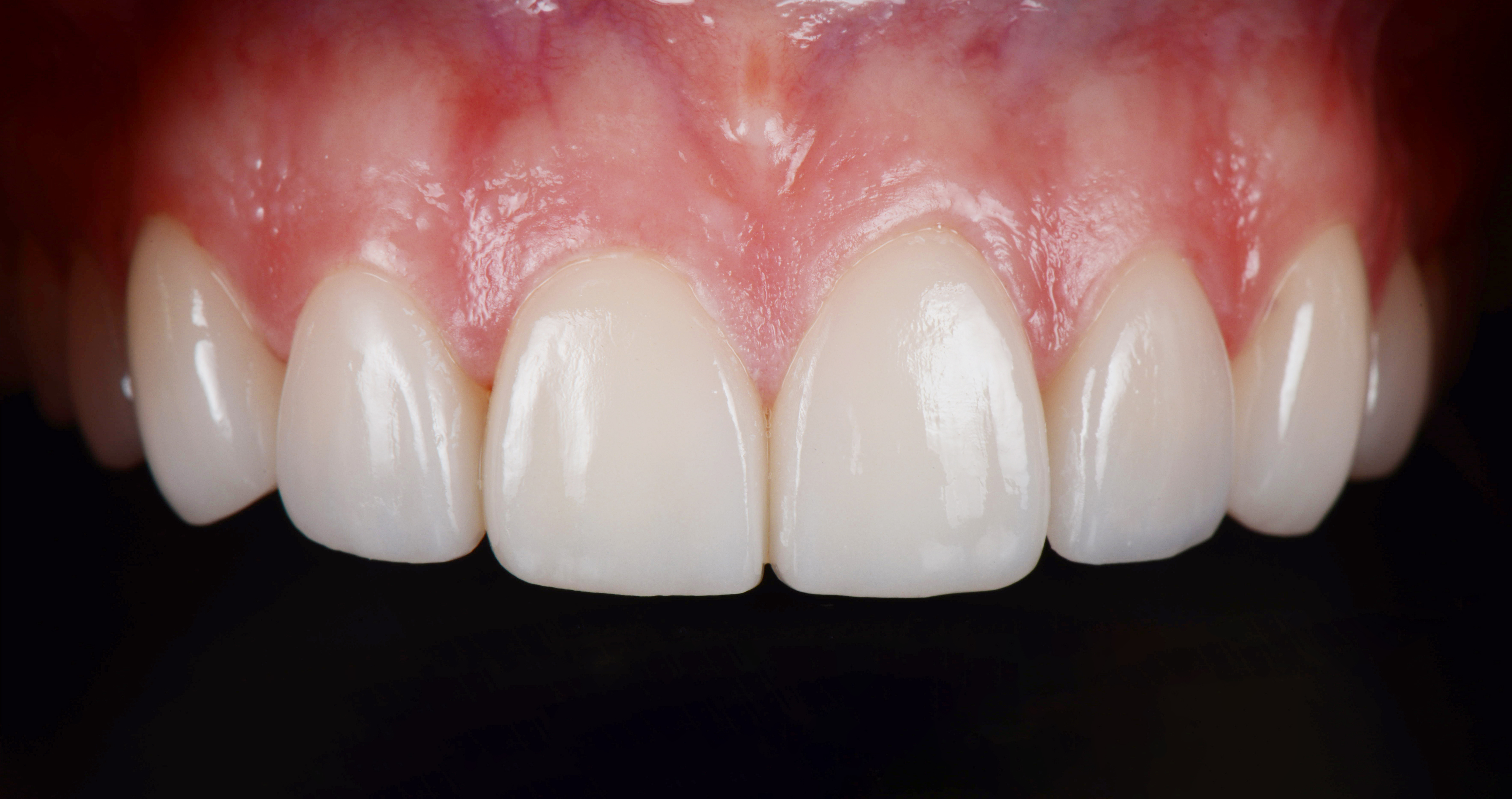
라미네이트
-
Before
2025-09-01
After
2025-09-12
라미네이트
-
Before
2025-01-11
After
2025-10-08
라미네이트
- ※ 위 임상사진은 365서울원탑치과에서 진료를 시작하고 마친 동일한 환자의 사진입니다.
- ※ 위 임상사진은 동일한 조건으로 촬영되었으며, 사진에 대한 별도의 조작이 처리되지 않았습니다.
- ※ 수술 및 치료 과정에서 부작용이 발생할 수 있으므로 의료진과의 충분한 상담과 신중한 판단이 요구됩니다.
